MENU
ORTHODONTICS

子どもの矯正治療について

お子さまの将来の笑顔のために、子供の時期からの矯正治療を考えてみませんか?
子どもの成長期を活かした矯正治療は、大人になってからの治療に比べて効果的で負担も軽減されます。

子どもの矯正が必要な理由

REASON

歯並びが悪いと、見た目だけでなく健康面にも影響を与えることがあります。
不正咬合が原因で、咀嚼(そしゃく)機能が低下したり、発音が不明瞭になったり、顎(あご)の成長に悪影響を及ぼすこともあります。
また、歯磨きがしにくくなることで虫歯や歯周病のリスクも高まります。
成長期に適切な矯正治療を行うことで、これらのリスクを大幅に軽減し、将来の健康な歯並びをサポートします。

不正咬合の原因と種類

MALOCCLUSION

不正咬合の主な原因

遺伝的要因

親の歯並びや顎の形状が影響することがあります。

生活習慣の影響

指しゃぶり、口呼吸、舌癖などの癖が歯並びに影響を与える場合があります。

顎の成長バランスの乱れ

顎の成長が不均衡になると不正咬合が生じることがあります。

乳歯が早く抜けることによる問題

乳歯が早期に抜けると、永久歯が正しい位置に生えにくくなります。

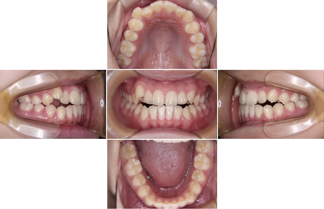
不正咬合の種類

上顎前突(出っ歯)

上の前歯が前に出ている状態

反対咬合(受け口)

下の前歯が上の前歯より前に出ている状態

開咬

前歯が上下で噛み合わない状態

叢生

歯が重なり合って生えている状態(乱ぐい歯)

不正咬合は、放置していると成長とともに悪化する可能性があります。早めの診断と治療が重要です。

治療期間について

TREATMENT PERIOD

治療の段階と期間

子どもの矯正治療は、成長に合わせて段階的に進めます。
治療期間は、お子さまの歯の生え変わりの状態や年齢、成長の具合によって異なりますが、一般的に以下のように進行します。

一期治療
(乳歯と永久歯が混合する時期)

対象年齢
6歳〜12歳

この段階では、顎の成長をコントロールし不正咬合を予防します。
顎が正しい成長をすることで、永久歯がきれいに生え揃うようサポートします。

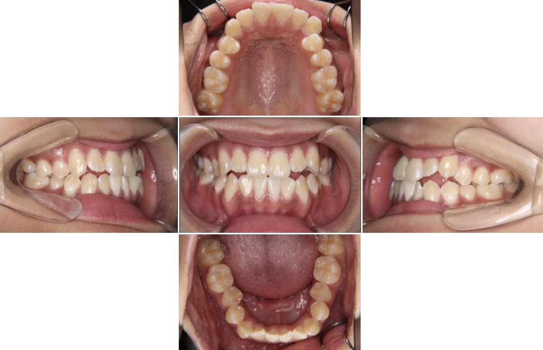
二期治療
(永久歯が生えそろった時期)

対象年齢
12歳以降

永久歯がすべて生えそろった後、歯並びの細かい調整を行います。
この段階での治療期間は、一般的に1〜3年ほどかかります。
 

治療の段階と期間

軽度の不正咬合
1〜2年
中程度〜重度の不正咬合
2〜3年

治療の進行状況により、期間は前後することがあります。定期的な診察と調整が必要です。

子どもの矯正を始めるタイミング

TIMING

「子どもの矯正は何歳から始めるのが良いの?」という質問をよくいただきます。一般的には、6歳〜7歳頃に初めての矯正相談を受けるのが理想です。

早期に診断を受けることで、将来的な歯並びの問題を予防し、治療期間を短縮することができます。また、成長期を利用することで、より自然な形で歯並びを整えることが可能です。

子どもの矯正方法と特徴

FEATURE

主な矯正方法

咬合誘導治療

成長発育に合わせて、適切な咬み合わせ(咬合)へ誘導する治療です。リンガルアーチ、急速拡大装置を使います。

機能的矯正治療

口腔周囲筋や顎の成長を考慮しながら進める矯正治療。
バイオネーターやムーシールドなどの装置を使うことが多いです。

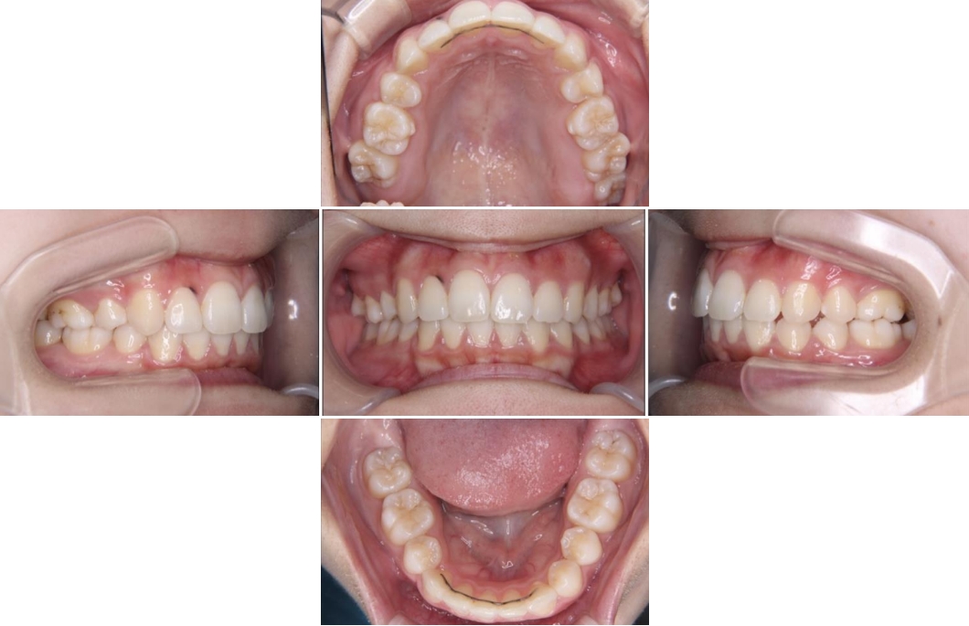
マウスピース型装置の矯正

取り外しが可能で、見た目が気にならない方法。
お子さまでも無理なく続けられます。

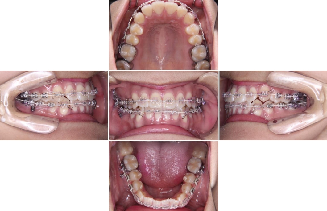
ワイヤー矯正

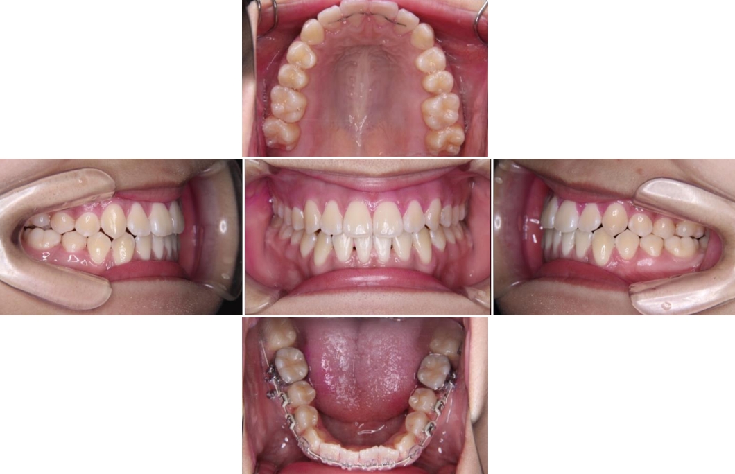
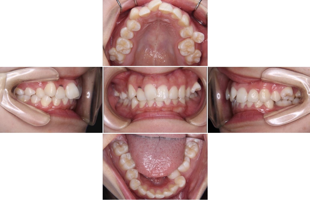
従来からある方法で、効果的にしっかりと歯を動かすことができます。複雑な歯並びにも対応可能です。ワイヤー矯正には、ラビアル矯正(表側)と舌側矯正(裏側)があります。

矯正装置の選び方

お子さまの生活スタイルや不正咬合の種類によって、適切な矯正装置を選ぶことが大切です。
矯正歯科医が、最適な治療法をご提案いたします。

費用について

PRICE

子どもの矯正治療の費用の目安

初診相談 無料
一期治療の費用 30万円〜50万円
二期治療の費用 70万円〜100万円

費用はお子さまの治療内容によって異なりますが、当院では明確な料金体系を設けております。

お支払い方法

  • 分割払いのご相談も可能です。
  • 矯正治療に関する医療費控除についてもご案内いたします。

矯正治療に関する疑問や不安を解消するため、初診相談を実施しております。
相談は治療開始の有無に関わらずご利用いただけます。まずはお気軽にお申し込みください。