MENU
CASE

40代の治療例

条件を指定して検索

歯並びの状態
矯正装置
抜歯の有無
症例1

上下顎前突、叢生


主訴 出っ歯、口が閉じにくい
年齢・性別 40代・女性
住所 岡山市
治療方針 抜歯により叢生と上下顎前突を改善する。
抜歯 上下顎小臼歯(4本)抜歯、親知らずの抜歯
装置 ラビアルブラケット、上顎のアンカースクリュー
動的治療期間 2年9か月

治療の概要

上下顎小臼歯(4本)と上顎親知らずを抜歯し、上顎の口蓋に植立したアンカースクリューから上顎歯列を遠心移動し、上顎の頬側に植立したアンカースクリューから上顎前歯を圧下・牽引し、上下顎前突を改善しました。口元の突出感も改善し口も閉じやすくなりました。

治療費概算

  • 検査・診断料:35,000円(税別)
  • 二期治療費:730,000円(税別)*アンカースクリュー・保定装置含む
  • 調整料:3,000円(税別)×来院回数

考えられるリスクや副作用

  • 矯正装置による不快感、歯の移動を行う際の痛みが生じることがあります。
  • ブラッシングを十分行わなかった場合に虫歯や歯周病のリスクがあります。
  • 歯を動かすことにより歯根吸収や歯肉退縮が起こることがあります。
  • 歯を動かすことにより稀に歯髄壊死が起こることがあります。
  • 治療中もしくは治療後に、顎関節症状が生じることがあります。
  • 矯正装置が粘膜に当たって口内炎が起こることがあります。
  • 保定装置を指示通り使用しないと後戻りが生じます。
BEFORE
初診時
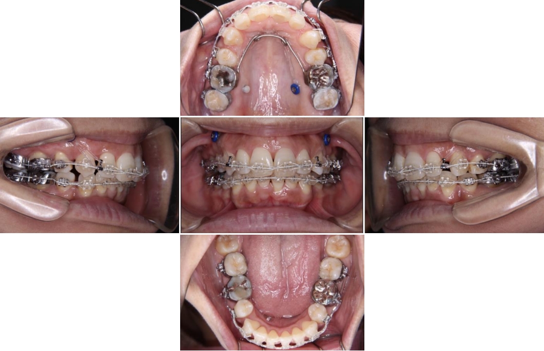
PROGRESS
動的治療中
AFTER
保定開始