MENU
CASE

成人の治療例

条件を指定して検索

歯並びの状態
矯正装置
抜歯の有無
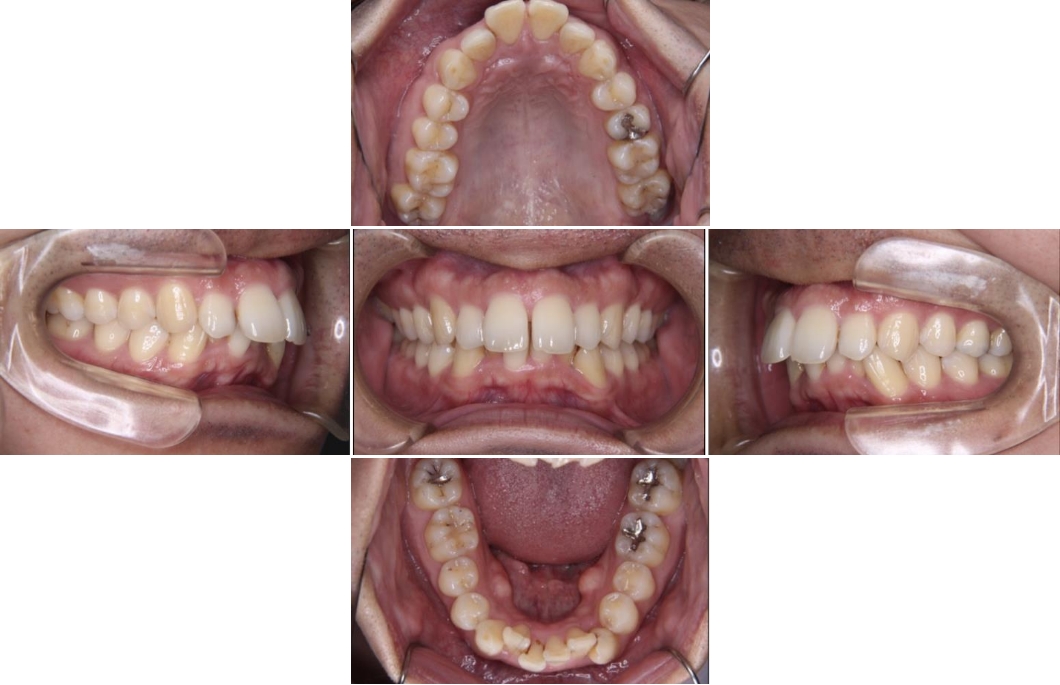
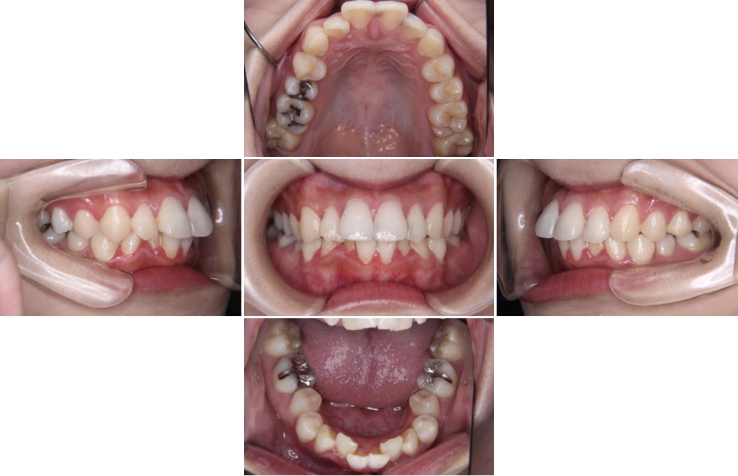
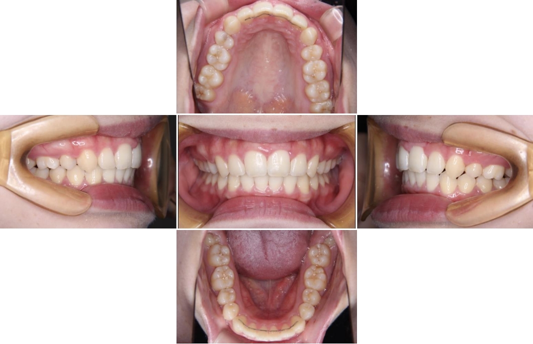
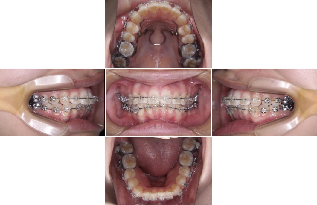
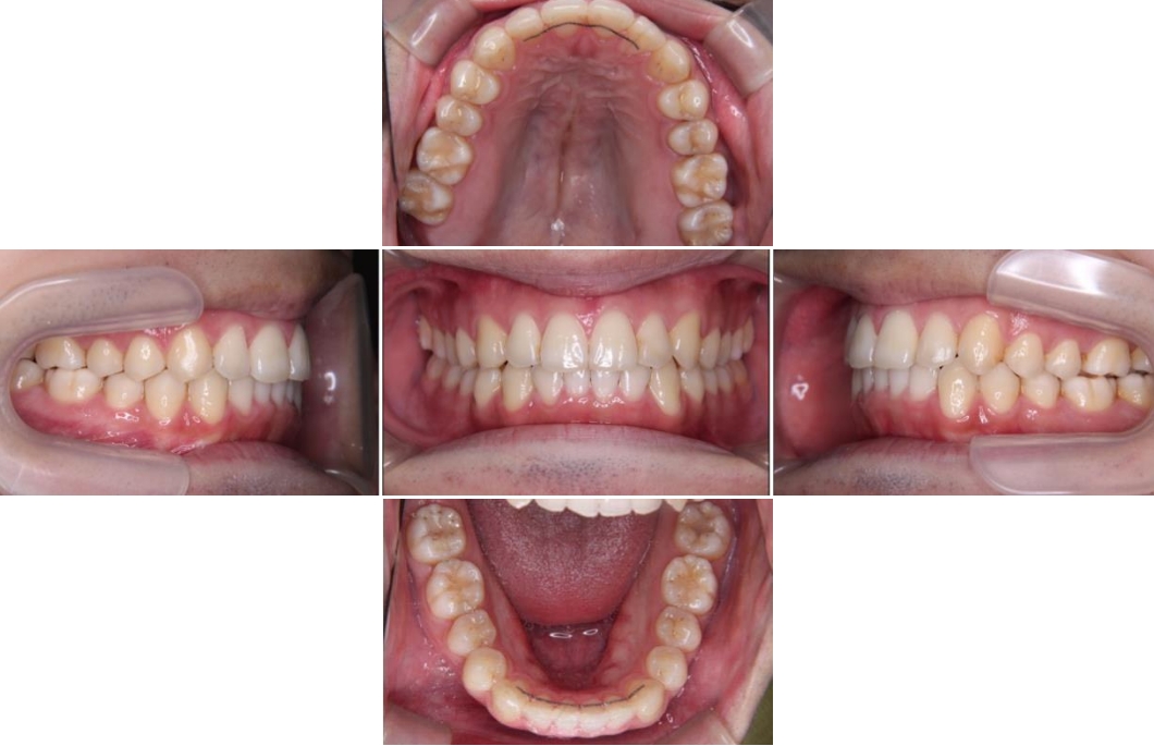
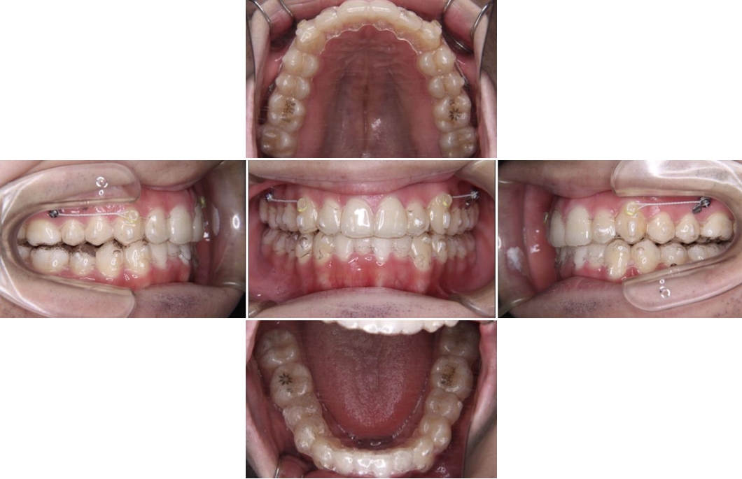
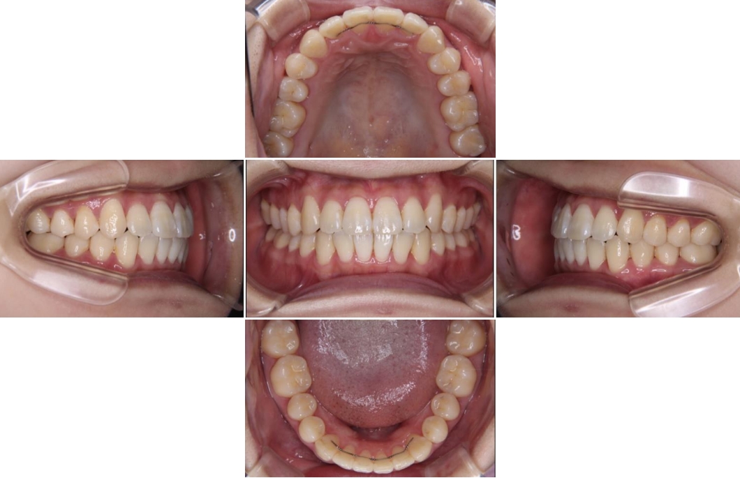
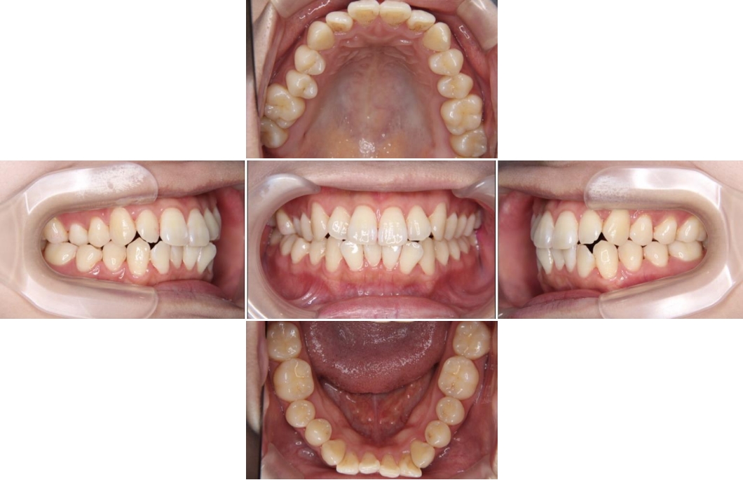
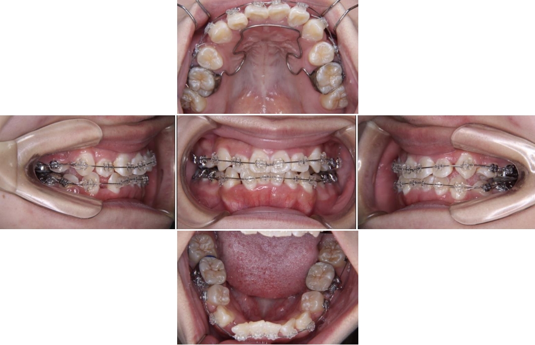
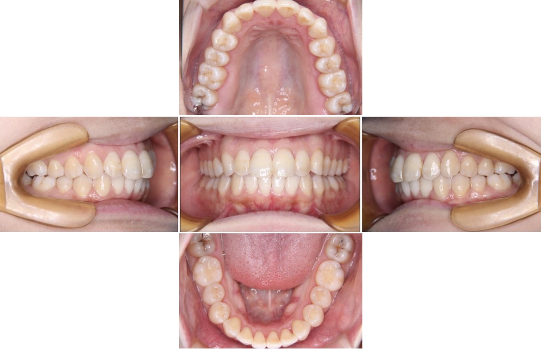
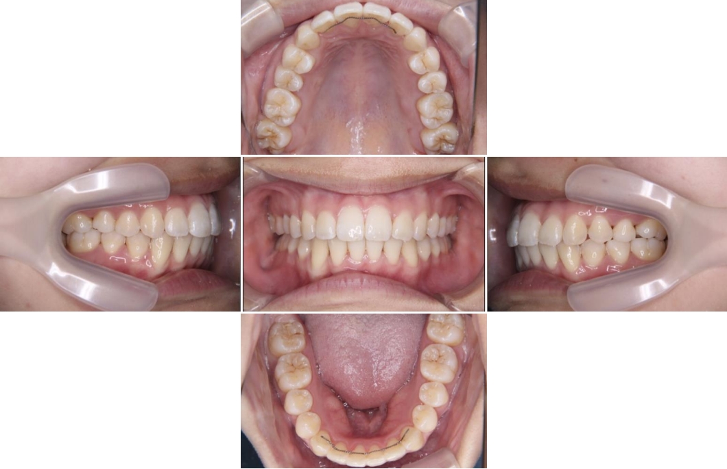
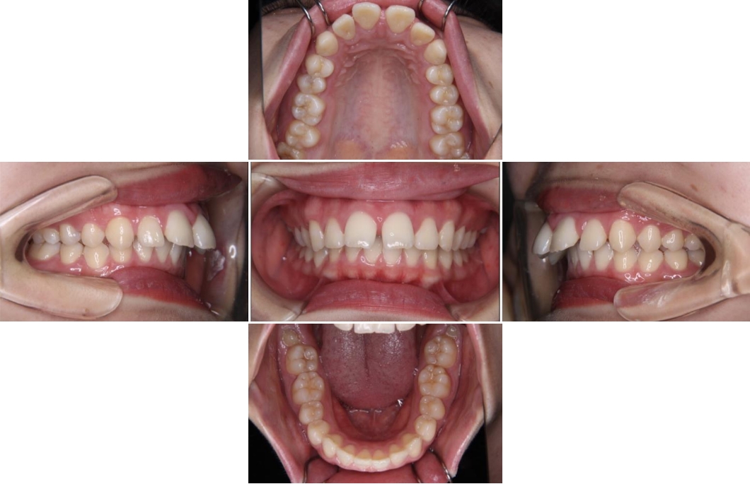
症例1

上顎前突


主訴 前歯が出ている
年齢・性別 20代・女性
住所 岡山市
治療方針 抜歯により前歯を後退させる。
抜歯 上下小臼歯(4本)抜歯
装置 ラビアルブラケット、上顎のアンカースクリュー
動的治療期間 3年2か月

治療の概要

上下顎の第一小臼歯を抜歯し、上顎口蓋に植立したアンカースクリューから上顎歯列を牽引しつつ、上下顎の前歯を遠心移動して上顎前突を改善しました。口元の突出感も改善されました。

治療費概算

  • 検査・診断料:35,000円(税別)
  • 二期治療費:620,000円(税別)*アンカースクリュー・保定装置含む
  • 調整料:3,000円(税別)×来院回数

考えられるリスクや副作用

  • 矯正装置による不快感、歯の移動を行う際の痛みが生じることがあります。
  • ブラッシングを十分行わなかった場合に虫歯や歯周病のリスクがあります。
  • 歯を動かすことにより歯根吸収や歯肉退縮が起こることがあります。
  • 歯を動かすことにより稀に歯髄壊死が起こることがあります。
  • 治療中もしくは治療後に、顎関節症状が生じることがあります。
  • 矯正装置が粘膜に当たって口内炎が起こることがあります。
  • 保定装置を指示通り使用しないと後戻りが生じます。
BEFORE
PROGRESS
AFTER

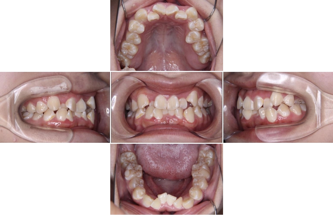
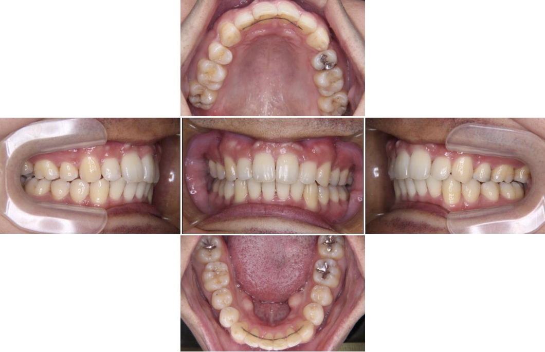
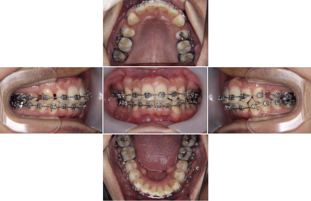
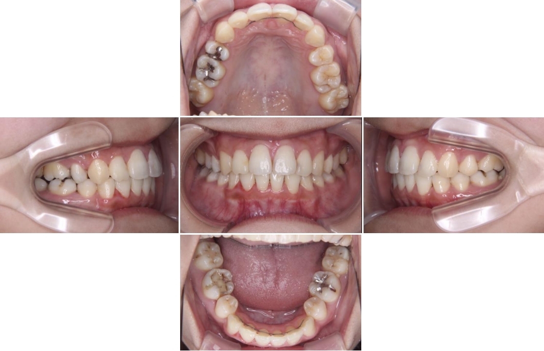
症例2

上顎前突、開咬


主訴 開咬、口元、顎の関節が悪い、手術が必要と言われた。
年齢・性別 20代・女性
住所 岡山市
治療方針 大臼歯の圧下、抜歯により開咬を改善する。
抜歯 上下顎小臼歯(4本)抜歯、上下顎親知らずの抜歯
装置 ラビアルブラケット、上顎のアンカースクリュー
動的治療期間 2年5か月

治療の概要

上下顎の第一小臼歯を抜歯し、上顎口蓋に植立したアンカースクリューから上顎大臼歯を圧下牽引しつつ、上下顎の前歯を牽引して開咬、上顎前突を改善しました。開咬は改善し、口元の突出感も改善されました。

治療費概算

  • 検査・診断料:35,000円(税別)
  • 二期治療費:670,000円(税別)*アンカースクリュー・保定装置含む
  • 調整料:3,000円(税別)×来院回数

考えられるリスクや副作用

  • 矯正装置による不快感、歯の移動を行う際の痛みが生じることがあります。
  • ブラッシングを十分行わなかった場合に虫歯や歯周病のリスクがあります。
  • 歯を動かすことにより歯根吸収や歯肉退縮が起こることがあります。
  • 歯を動かすことにより稀に歯髄壊死が起こることがあります。
  • 治療中もしくは治療後に、顎関節症状が生じることがあります。
  • 矯正装置が粘膜に当たって口内炎が起こることがあります。
  • 保定装置を指示通り使用しないと後戻りが生じます。
BEFORE
初診時
PROGRESS
動的治療中
AFTER
保定開始

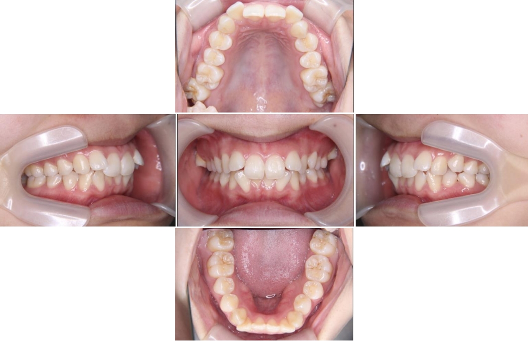
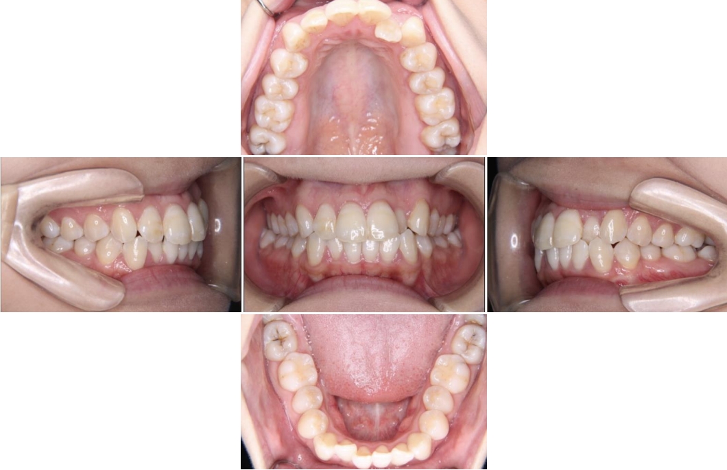
症例3

叢生


主訴 前歯のガタガタが気になる。
年齢・性別 20代・男性
住所 岡山市
治療方針 親知らずを抜歯し上下臼歯部を遠心移動し、叢生を改善する。
抜歯 上下顎親知らずの抜歯
装置 マウスピース型矯正装置(インビザライン)、上顎のアンカースクリュー
動的治療期間 2年3か月

治療の概要

上下顎の親知らず(4本)を抜歯し、上顎頬側に植立したアンカースクリューから上顎臼歯部の遠心移動し、Ⅲ級ゴムにて下顎臼歯部の遠心移動を行い、マウスピース型矯正装置にて口元を突出させずに叢生を改善しました。

治療費概算

  • 検査・診断料:35,000円(税別)
  • 二期治療費:790,000円(税別)*アンカースクリュー・保定装置含む
  • 調整料:3,000円(税別)×来院回数

考えられるリスクや副作用

  • 矯正装置による不快感、歯の移動を行う際の痛みが生じることがあります。
  • ブラッシングを十分行わなかった場合に虫歯や歯周病のリスクがあります。
  • 歯を動かすことにより歯根吸収や歯肉退縮が起こることがあります。
  • 歯を動かすことにより稀に歯髄壊死が起こることがあります。
  • 治療中もしくは治療後に、顎関節症状が生じることがあります。
  • 矯正装置が粘膜に当たって口内炎が起こることがあります。
  • 保定装置を指示通り使用しないと後戻りが生じます。
BEFORE
初診時
PROGRESS
動的治療中
AFTER
保定開始
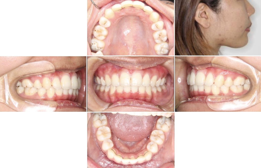
症例4

交叉咬合、叢生


主訴 歯のでこぼこ
年齢・性別 30代・女性
住所 岡山市
治療方針 親知らずを抜歯し上顎歯列の拡大と上顎臼歯の遠心移動により、叢生を改善する。
抜歯 上下顎親知らずの抜歯
装置 マウスピース型矯正装置(インビザライン)
動的治療期間 2年8か月

治療の概要

親知らずを抜歯し上顎歯列の拡大と上顎臼歯の遠心移動により、左方へズレた上顎の正中を右方へ移動し、第二大臼歯部の交叉咬合と左側側切歯の交叉咬合を改善しました。

治療費概算

  • 検査・診断料:35,000円(税別)
  • 二期治療費:750,000円(税別)*保定装置含む
  • 調整料:3,000円(税別)×来院回数

考えられるリスクや副作用

  • 矯正装置による不快感、歯の移動を行う際の痛みが生じることがあります。
  • ブラッシングを十分行わなかった場合に虫歯や歯周病のリスクがあります。
  • 歯を動かすことにより歯根吸収や歯肉退縮が起こることがあります。
  • 歯を動かすことにより稀に歯髄壊死が起こることがあります。
  • 治療中もしくは治療後に、顎関節症状が生じることがあります。
  • 矯正装置が粘膜に当たって口内炎が起こることがあります。
  • 保定装置を指示通り使用しないと後戻りが生じます。
BEFORE
初診時
PROGRESS
動的治療中
AFTER
保定開始
症例5

下顎前突、叢生


主訴 がたがたしているところ、受け口気味なところ。
年齢・性別 20代・女性
住所 岡山市
治療方針 抜歯により叢生および交叉咬合を改善する。
抜歯 上下顎小臼歯(4本)の抜歯
装置 ラビアルブラケット
動的治療期間 1年8か月

治療の概要

上下顎の第一小臼歯を抜歯し、著しい叢生、交叉咬合を改善しました。受け口気味の口元も改善されました。

治療費概算

  • 検査・診断料:35,000円(税別)
  • 二期治療費:630,000円(税別)*保定装置含む
  • 調整料:3,000円(税別)×来院回数

考えられるリスクや副作用

  • 矯正装置による不快感、歯の移動を行う際の痛みが生じることがあります。
  • ブラッシングを十分行わなかった場合に虫歯や歯周病のリスクがあります。
  • 歯を動かすことにより歯根吸収や歯肉退縮が起こることがあります。
  • 歯を動かすことにより稀に歯髄壊死が起こることがあります。
  • 治療中もしくは治療後に、顎関節症状が生じることがあります。
  • 矯正装置が粘膜に当たって口内炎が起こることがあります。
  • 保定装置を指示通り使用しないと後戻りが生じます。
BEFORE
初診時
PROGRESS
動的治療中
AFTER
保定開始
症例6

上顎前突


主訴 出っ歯、下の前歯のガタガタ
年齢・性別 30代・男性
住所 岡山市
治療方針 上顎小臼歯と下顎親知らずを抜歯し、上顎前突および下顎前歯部の叢生を改善する。
抜歯 上顎小臼歯(2本)と下顎親知らずの抜歯
装置 ラビアルブラケット
動的治療期間 2年0か月

治療の概要

上顎小臼歯を抜歯し前歯を牽引、下顎親知らずを抜歯し近心傾斜した下顎の臼歯部をアップライトすることにより下顎前歯部の叢生を改善しました。上顎前突が改善され口が閉じやすくなりました。

治療費概算

  • 検査・診断料:35,000円(税別)
  • 二期治療費:600,000円(税別)*保定装置含む
  • 調整料:3,000円(税別)×来院回数

考えられるリスクや副作用

  • 矯正装置による不快感、歯の移動を行う際の痛みが生じることがあります。
  • ブラッシングを十分行わなかった場合に虫歯や歯周病のリスクがあります。
  • 歯を動かすことにより歯根吸収や歯肉退縮が起こることがあります。
  • 歯を動かすことにより稀に歯髄壊死が起こることがあります。
  • 治療中もしくは治療後に、顎関節症状が生じることがあります。
  • 矯正装置が粘膜に当たって口内炎が起こることがあります。
  • 保定装置を指示通り使用しないと後戻りが生じます。
BEFORE
初診時
PROGRESS
動的治療中
AFTER
保定開始
症例7

上顎前突、空隙歯列


主訴 上前歯の隙間、出っ歯
年齢・性別 20代・女性
住所 岡山市
治療方針 上顎前突と空隙歯列を改善する
抜歯 上顎小臼歯(2本)の抜歯
装置 ラビアルブラケット
動的治療期間 1年11か月

治療の概要

上顎小臼歯を抜歯し大臼歯がロスしないよう注意しながら前歯を圧下牽引し、上顎前突と上顎前歯の空隙が改善されました。口元の突出感もなくなり口が閉じやすくなりました。

治療費概算

  • 検査・診断料:35,000円(税別)
  • 二期治療費:600,000円(税別)*保定装置含む
  • 調整料:3,000円(税別)×来院回数

考えられるリスクや副作用

  • 矯正装置による不快感、歯の移動を行う際の痛みが生じることがあります。
  • ブラッシングを十分行わなかった場合に虫歯や歯周病のリスクがあります。
  • 歯を動かすことにより歯根吸収や歯肉退縮が起こることがあります。
  • 歯を動かすことにより稀に歯髄壊死が起こることがあります。
  • 治療中もしくは治療後に、顎関節症状が生じることがあります。
  • 矯正装置が粘膜に当たって口内炎が起こることがあります。
  • 保定装置を指示通り使用しないと後戻りが生じます。
BEFORE
初診時
PROGRESS
動的治療中
AFTER
保定開始
症例8

上顎前突、叢生


主訴 前歯の出具合が気になる
年齢・性別 20代・女性
住所 岡山市
治療方針 上下顎小臼歯(4本)を抜歯し、上顎前突および叢生を改改善する。
抜歯 上下顎小臼歯(4本)の抜歯
装置 ラビアルブラケット
動的治療期間 2年7か月

治療の概要

上下顎小臼歯を抜歯し上顎大臼歯がロスしないよう注意しながら前歯を圧下牽引し、上顎前突、過蓋咬合と下顎前歯部の叢生が改善されました。口元の突出感もなくなり口が閉じやすくなりました。

治療費概算

  • 検査・診断料:35,000円(税別)
  • 二期治療費:665,000円(税別)*保定装置含む
  • 調整料:3,000円(税別)×来院回数

考えられるリスクや副作用

  • 矯正装置による不快感、歯の移動を行う際の痛みが生じることがあります。
  • ブラッシングを十分行わなかった場合に虫歯や歯周病のリスクがあります。
  • 歯を動かすことにより歯根吸収や歯肉退縮が起こることがあります。
  • 歯を動かすことにより稀に歯髄壊死が起こることがあります。
  • 治療中もしくは治療後に、顎関節症状が生じることがあります。
  • 矯正装置が粘膜に当たって口内炎が起こることがあります。
  • 保定装置を指示通り使用しないと後戻りが生じます。
BEFORE
初診時
PROGRESS
動的治療中
AFTER
保定開始
症例9

叢生


主訴 右側小臼歯部の噛み合わせ、前歯のガタつき、親知らずが生えてから急に悪くなった。
年齢・性別 30代・女性
住所 岡山市
治療方針 上顎歯列の拡大とIPRにより右側の交叉咬合、前歯部の叢生を改善する。
抜歯 上顎左側と下顎右側の親知らずを抜歯
装置 マウスピース型矯正装置(インビザライン)
動的治療期間 2年8か月

治療の概要

上顎左側と下顎右側の親知らずを抜歯し、マウスピース型矯正装置を装着し、上顎歯列の拡大とIPRにより右側の交叉咬合、前歯部の叢生を改善しました。

治療費概算

  • 検査・診断料:35,000円(税別)
  • 二期治療費:750,000円(税別)*保定装置含む
  • 調整料:3,000円(税別)×来院回数

考えられるリスクや副作用

  • 矯正装置による不快感、歯の移動を行う際の痛みが生じることがあります。
  • ブラッシングを十分行わなかった場合に虫歯や歯周病のリスクがあります。
  • 歯を動かすことにより歯根吸収や歯肉退縮が起こることがあります。
  • 歯を動かすことにより稀に歯髄壊死が起こることがあります。
  • 治療中もしくは治療後に、顎関節症状が生じることがあります。
  • 矯正装置が粘膜に当たって口内炎が起こることがあります。
  • 保定装置を指示通り使用しないと後戻りが生じます。
BEFORE
初診時
PROGRESS
動的治療中
AFTER
保定開始
症例10

叢生、過蓋咬合、鋏状咬合


主訴 前歯のでこぼこ、(小臼歯を)抜歯したくない。
年齢・性別 20代・女性
住所 岡山市
治療方針 上下顎の親知らずを抜歯し、上顎歯列を遠心移動し、前歯部の叢生と第二大臼歯部の鋏状咬合を改善する。
抜歯 上下顎の親知らず(4本)の抜歯
装置 ラビアルブラケット、 上顎のアンカースクリュー
動的治療期間 1年10か月

治療の概要

上下顎の親知らずを抜歯し、口蓋に植立したアンカースクリューより上顎歯列を遠心移動して口元が前方へ出ないように叢生を改善しました。

治療費概算

  • 検査・診断料:35,000円(税別)
  • 二期治療費:670,000円(税別)*アンカースクリュー・保定装置含む
  • 調整料:3,000円(税別)×来院回数

考えられるリスクや副作用

  • 矯正装置による不快感、歯の移動を行う際の痛みが生じることがあります。
  • ブラッシングを十分行わなかった場合に虫歯や歯周病のリスクがあります。
  • 歯を動かすことにより歯根吸収や歯肉退縮が起こることがあります。
  • 歯を動かすことにより稀に歯髄壊死が起こることがあります。
  • 治療中もしくは治療後に、顎関節症状が生じることがあります。
  • 矯正装置が粘膜に当たって口内炎が起こることがあります。
  • 保定装置を指示通り使用しないと後戻りが生じます。
BEFORE
初診時
PROGRESS
動的治療中
AFTER
保定開始